android复位机器人图片_国家骨科与运动康复临床医学研究中心完成首例智能全息可视化导航骨折复位固定术...
2020年9月5日,国家骨科与运动康复临床医学研究中心、中国人民解放军总医院骨科医学部利用“智能全息可视化导航系统”完成首例全息导航下的肱骨干骨折髓内钉手术。“智能全息可视化导航系统”是基于人工智能图像分割、混合现实、机器人定位、导航技术等多种前沿科技,由国家骨科与运动康复临床医学研究中心与北京维卓致远医疗科技发展有限公司联合研发的全息可视化导航辅助下骨折的精准复位、内植物精准植入、术中...

“智能全息可视化导航系统”是基于人工智能图像分割、混合现实、机器人定位、导航技术等多种前沿科技,由国家骨科与运动康复临床医学研究中心与北京维卓致远医疗科技发展有限公司联合研发的全息可视化导航辅助下骨折的精准复位、内植物精准植入、术中X线“零透视”的智能技术。该项技术在临床的应用,标志着国家临床中心在骨科智能化手术方向实现了新的突破。
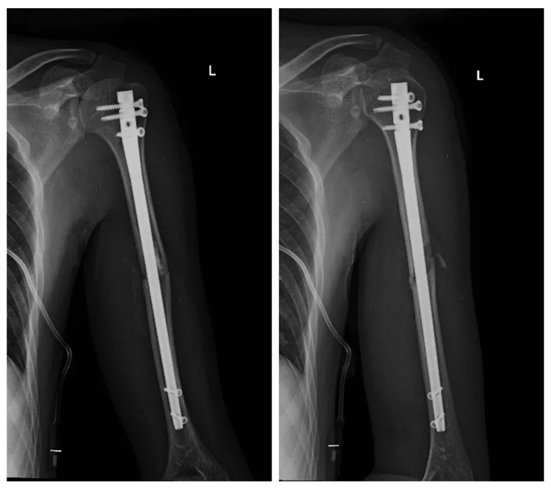
本次手术在术前利用“临床影像工作站”读取患者术前的CT影像数据,运用人工智能算法对骨折部位进行精准分割和重建,高效实施术前规划,术中利用光学导航系统精确制导,实现肱骨干骨折全息可视化复位、髓内钉精准定位。整台手术共耗时45 分钟,完全省去传统手术中采用C形臂透视辅助复位和置钉的过程。术后X线显示骨折端获得解剖复位,术后肢体活动良好。

智能化全息可视化导航研发流程

术后X线片
近年来,微创化、精准化已经成为骨折治疗的必然趋势,然而微创术式所伴随的术中透视增加无疑给医生和患者带来更严重的放射线暴露。国家骨科与运动康复临床医学研究中心主任、解放军总医院骨科医学部主任唐佩福教授表示:全息可视化导航技术是实现骨折微创治疗精准化、零辐射的技术基础,“智能全息可视化导航系统”已经完成裸骨验证、离体试验、临床试验等多项技术流程,相信在不久的将来会广泛应用于临床,推动智能化骨科手术技术的普及。
1
外科的发展史是一部技术驱动的演化史。前沿科技正在不断重塑着医疗行业的工作方式,也在改变我们对于医学的认知。未来已来,我们拭目以待!来源:国家骨科与运动康复临床医学研究中心
声明:此文内容及图片由供稿单位提供,仅供学习交流,不代表骨科在线观点。

欢迎投稿,请将稿件发送至:
orth@orthonline.com.cn 来函必复!
↓↓↓点击【阅读原文】查看更多内容
DAMO开发者矩阵,由阿里巴巴达摩院和中国互联网协会联合发起,致力于探讨最前沿的技术趋势与应用成果,搭建高质量的交流与分享平台,推动技术创新与产业应用链接,围绕“人工智能与新型计算”构建开放共享的开发者生态。
更多推荐



所有评论(0)